U.S. flag An official website of the United States government.
Official websites use .gov

A .gov website belongs to an official government organization in the United States.

Secure .gov websites use HTTPS

A lock ( ) or https:// means you've safely connected to the .gov website. Share sensitive information only on official, secure websites.

i

Canine junctional epidermolysis bullosa due to a novel mutation in LAMA3 with severe upper respiratory involvement

Supporting Files
File Language:
English


Details

  • Alternative Title:
    Vet Dermatol
  • Personal Author:
  • Description:
    Background –

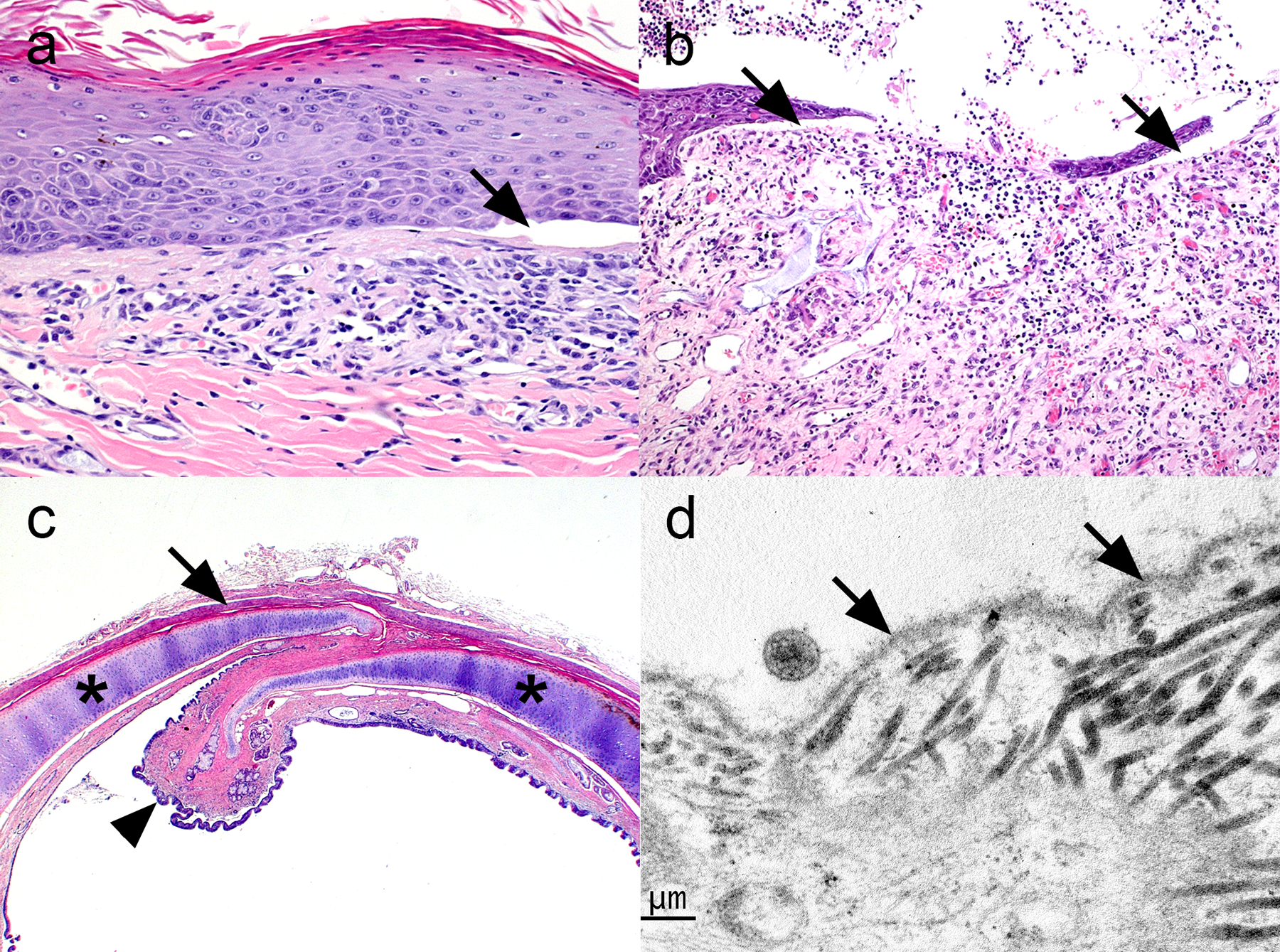
    Junctional epidermolysis bullosa (JEB) is a group of congenital blistering skin diseases characterized by clefting through the lamina lucida of the basement membrane zone.

    Objectives –

    To characterize the clinical and morphological features of a congenital mechanobullous disease in a litter of puppies with severe upper respiratory involvement, and to identify an associated genetic variant.

    Animals –

    Five of eight puppies in an Australian cattle dog cross-bred litter showed signs of skin fragility. Three were stillborn and one died at one month of age. The two surviving puppies were presented with blistering skin disease and severe respiratory distress. Additionally, one unaffected sibling was examined, and blood was obtained for genetic testing.

    Methods and materials –

    Post-mortem examination, histopathological evaluation and electron microscopy were performed. Whole genome sequencing (WGS) of one affected puppy was compared to a database of 522 dogs of 55 different breeds for variant analysis. Sanger sequencing of one additional affected and one unaffected sibling confirmed the variant.

    Results –

    Clinically, severe mucocutaneous ulcers occurred in frictional areas with claw sloughing. Histopathological results revealed subepidermal clefts and electron microscopy confirmed the split in the lamina lucida. Post-mortem examination documented extensive pharyngeal and laryngeal lesions with granulation tissue and fibrinous exudate obscuring the airway. Moderate tracheal hypoplasia contributed. The WGS revealed a novel missense variant in the laminin α3-chain XP_537297.2p(Asp2867Val), with an autosomal recessive mode of inheritance.

    Conclusions and clinical relevance –

    A novel variant caused a generalized and severe phenotype of JEB with an unique clinical presentation of upper-airway obstruction.

  • Subjects:
  • Source:
    Vet Dermatol. 32(4):379-e108
  • Pubmed ID:
    34250689
  • Pubmed Central ID:
    PMC8279226
  • Document Type:
  • Funding:
  • Volume:
    32
  • Issue:
    4
  • Collection(s):
  • Main Document Checksum:
    urn:sha256:72dbdc232414e9b60a7c4ffb135fdce5f1bc1722081cdcaaadd24e4552648bb5
  • Download URL:
  • File Type:
    Filetype[PDF - 2.15 MB ]
File Language:
English
ON THIS PAGE

CDC STACKS serves as an archival repository of CDC-published products including scientific findings, journal articles, guidelines, recommendations, or other public health information authored or co-authored by CDC or funded partners.

As a repository, CDC STACKS retains documents in their original published format to ensure public access to scientific information.