U.S. flag An official website of the United States government.
Official websites use .gov

A .gov website belongs to an official government organization in the United States.

Secure .gov websites use HTTPS

A lock ( ) or https:// means you've safely connected to the .gov website. Share sensitive information only on official, secure websites.

i

Multiple MIS-C Readmissions and Giant Coronary Aneurysm after COVID-19 Illness and Vaccination: A Case Report

Supporting Files
File Language:
English


Details

  • Alternative Title:
    Pediatr Infect Dis J
  • Personal Author:
  • Description:
    Background:

    Multisystem inflammatory syndrome in children (MIS-C) rarely involves delayed giant coronary aneurysms, multiple readmissions, or occurrence after COVID-19 vaccination.

    Methods:

    We describe a child with all three of these unusual features. We discuss his clinical presentation, medical management, review of the current literature, and CDC guidance recommendations regarding further vaccinations.

    Results:

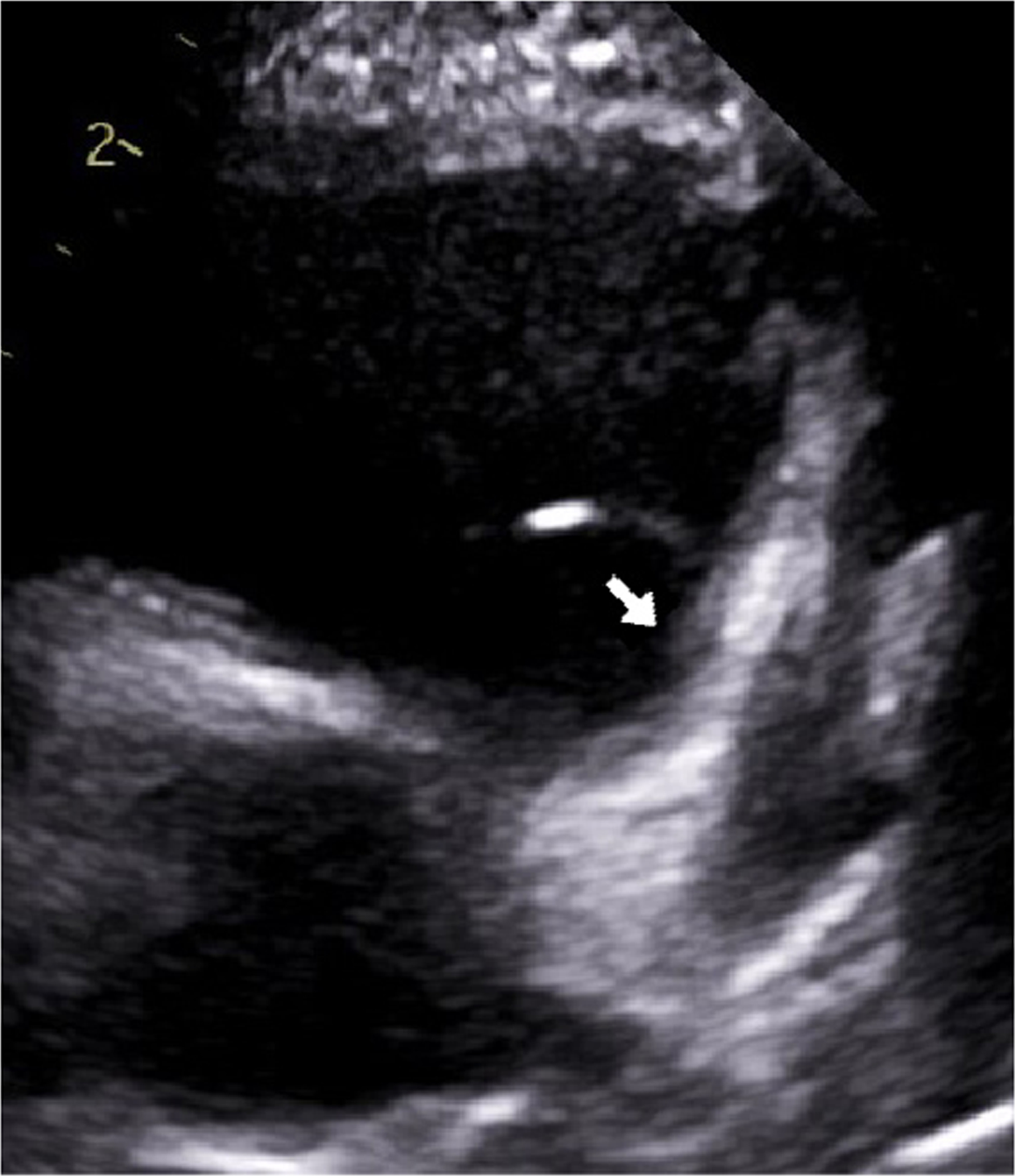
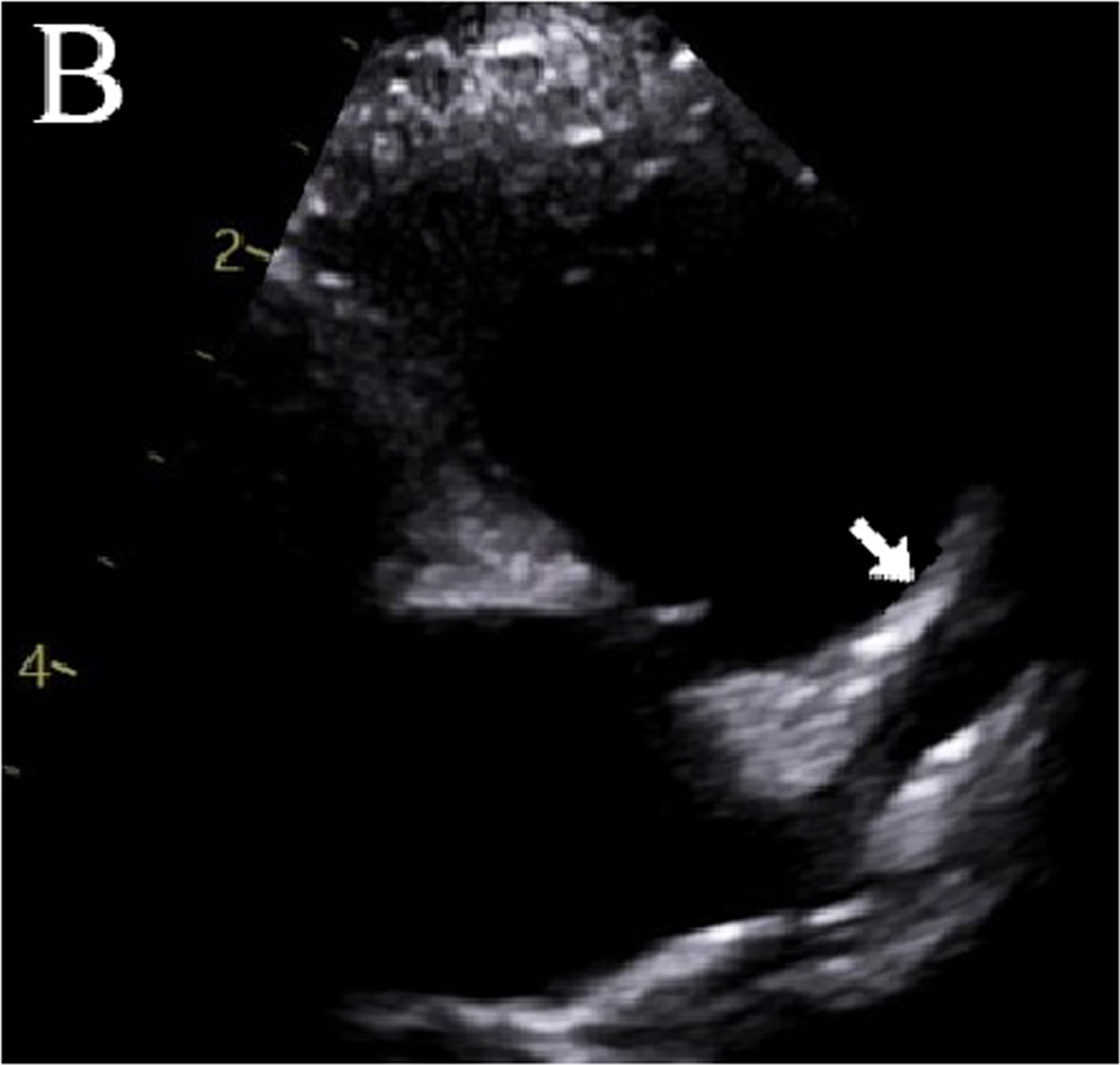
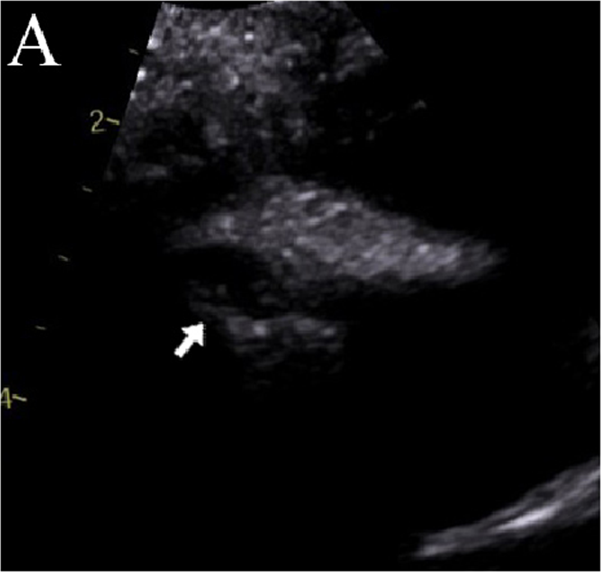
    A 5-year-old boy had onset of MIS-C symptoms 55 days after COVID-19 illness and 15 days after receiving his first BNT162b2 COVID-19 vaccination. He was admitted three times for MIS-C, twice after his steroid dose was tapered. On his initial admission, he was given intravenous immunoglobulin (IVIG) and steroids. During his second admission, new, moderate coronary dilation was noted, and he was treated with IVIG and steroids. At his last admission, worsening coronary dilation was noted, and he was treated with infliximab and steroids. During follow-up, he had improvement in his coronary artery dilatation. However, his inflammatory markers increased after steroid wean, and his steroid taper was further extended, after which time his inflammatory markers improved. This is the only such reported case of a patient who was admitted three times for MIS-C complications after Covid-19 vaccination.

    Conclusion:

    MIS-C rarely involves delayed giant coronary aneurysms, multiple readmissions, or occurrence after COVID-19 vaccination. Whether our patient’s COVID-19 vaccine 6 weeks after COVID-19 illness contributed to his MIS-C is unknown. After consultation with the CDC-funded Clinical Immunization Safety Assessment Project, the patient’s care team decided against further COVID-19 vaccination until at least three months post normalization of inflammatory markers.

  • Keywords:
  • Source:
    Pediatr Infect Dis J. 42(3):e64-e69
  • Pubmed ID:
    36729556
  • Pubmed Central ID:
    PMC9935235
  • Document Type:
  • Funding:
  • Volume:
    42
  • Issue:
    3
  • Collection(s):
  • Main Document Checksum:
    urn:sha256:a2db85ebf49e56e66186b1c097b78752c6bc045b11d28f8ccd1083572a8db8df
  • Download URL:
  • File Type:
    Filetype[PDF - 1.06 MB ]
File Language:
English
ON THIS PAGE

CDC STACKS serves as an archival repository of CDC-published products including scientific findings, journal articles, guidelines, recommendations, or other public health information authored or co-authored by CDC or funded partners.

As a repository, CDC STACKS retains documents in their original published format to ensure public access to scientific information.