Investigation of a Cluster of Rapidly Growing Mycobacteria Infections Associated with Joint Replacement Surgery in a Kentucky Hospital, 2013-2014 with 8-Year Follow-Up
Supporting Files
-
2023/04/01
-
File Language:
English
Details
-
Journal Article:American Journal of Infection Control
-
Personal Author:
-
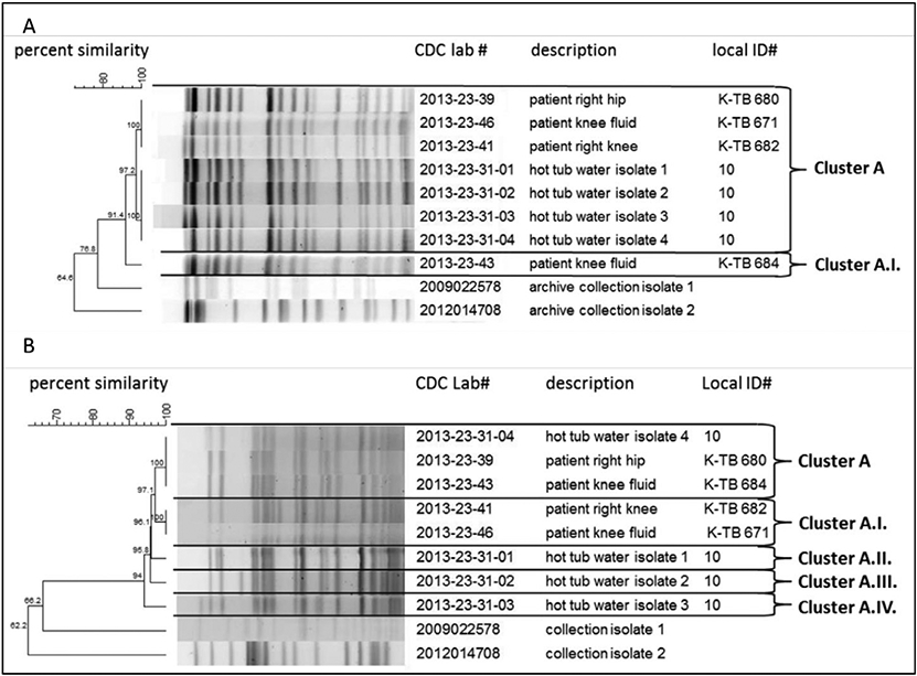
Description:Background: We describe the investigation of a nosocomial outbreak of rapidly growing mycobacteria (RGM) infections and the results of mitigation efforts after 8 years. Methods: A cluster of RGM cases in a Kentucky hospital in 2013 prompted an investigation into RGM surgical site infections following joint replacement surgery. A case-control study was conducted to identify risk factors. Results: Eight cases were identified, five caused by M. wolinskyi and three by M. goodii. The case-control study showed the presence of a particular nurse in the operating room was significantly associated with infection. Environmental sampling at the nurse's home identified an outdoor hot tub as the likely source of M. wolinskyi, confirmed by pulsed-field gel electrophoresis and whole genome sequencing. The hot tub reservoir was eliminated, and hospital policies were revised to correct infection control lapses. No new cases of RGM infections have been identified as of 2021. Discussion: Breaches in infection control practices at multiple levels may have led to a chain of infection from a nurse's hot tub to surgical sites via indirect person-to-person transmission from a colonized health care worker (HCW). Conclusion: The multifactorial nature of the outbreak's cause highlights the importance of overlapping or redundant layers of protection preventing patient harm. Future investigations of RGM outbreaks should consider the potential role of colonized HCWs as a transmission vector. [Description provided by NIOSH]
-
Subjects:
-
Keywords:
-
Source:Am J Infect Control 2023 Apr; 51(4):454-460
-
ISSN:0196-6553
-
Pubmed ID:35732255
-
Pubmed Central ID:PMC9896514
-
Document Type:
-
Funding:
-
Genre:
-
Place as Subject:
-
CIO:
-
Division:
-
Topic:
-
Location:
-
Pages in Document:17 pdf pages
-
Volume:51
-
Issue:4
-
NIOSHTIC Number:nn:20065538
-
Contact Point Address:Matthew R. Groenewold, PhD, MSPH, NIOSH, 1090 Tusculum Ave. MS R-17, Cincinnati, OH 45226
-
Email:gyr5@cdc.gov
-
Federal Fiscal Year:2023
-
Peer Reviewed:True
-
Collection(s):
-
Main Document Checksum:urn:sha-512:20d1f5d9d6e0629124042f9d1c6092f3808e4642818b16fd9595e3998297a9a8c3372a8b04643eb596c1722bae6e1d9771d965ae443c618b83dd02e6f15bc685
-
Download URL:
-
File Type:
Supporting Files
File Language:
English
ON THIS PAGE
CDC STACKS serves as an archival repository of CDC-published products including
scientific findings,
journal articles, guidelines, recommendations, or other public health information authored or
co-authored by CDC or funded partners.
As a repository, CDC STACKS retains documents in their original published format to ensure public access to scientific information.
As a repository, CDC STACKS retains documents in their original published format to ensure public access to scientific information.
You May Also Like