Fluorescent Crimean-Congo hemorrhagic fever virus illuminates tissue tropism patterns and identifies early mononuclear phagocytic cell targets in Ifnar-/- mice
Supporting Files
-
December 02 2019
-
File Language:
English
Details
-
Alternative Title:PLoS Pathog
-
Personal Author:
-
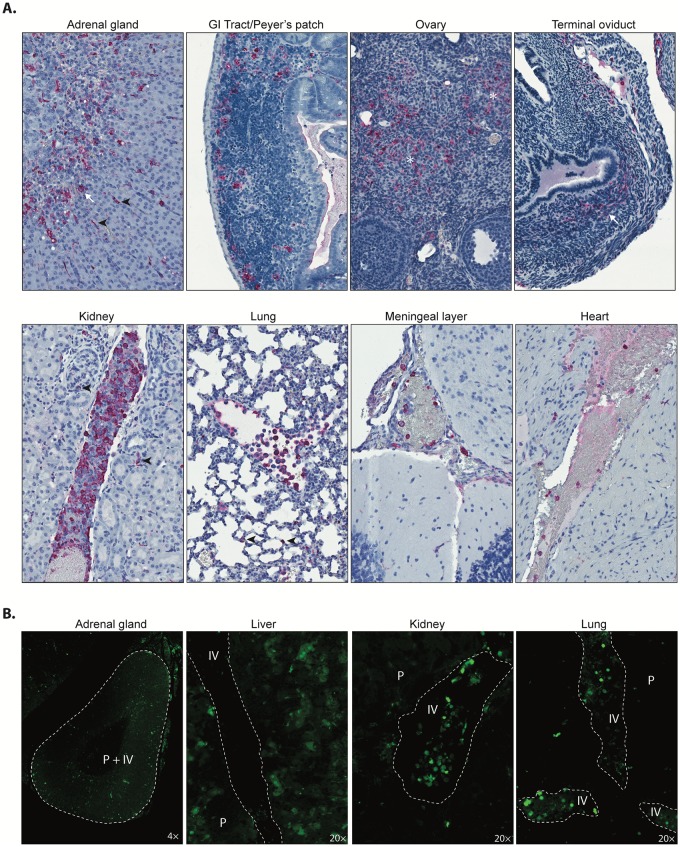
Description:Crimean-Congo hemorrhagic fever virus (CCHFV, order Bunyavirales, family Nairoviridae, genus Orthonairovirus) is the tick-borne etiological agent of Crimean-Congo hemorrhagic fever (CCHF) in humans. Animals are generally susceptible to CCHFV infection but refractory to disease. Small animal models are limited to interferon-deficient mice, that develop acute fatal disease following infection. Here, using a ZsGreen1- (ZsG) expressing reporter virus (CCHFV/ZsG), we examine tissue tropism and dissemination of virus in interferon-α/β receptor knock-out (Ifnar-/-) mice. We demonstrate that CCHFV/ZsG retains in vivo pathogenicity comparable to wild-type virus. Interestingly, despite high levels of viral RNA in all organs assessed, 2 distribution patterns of infection were observed by both fluorescence and immunohistochemistry (IHC), corresponding to the permissiveness of organ tissues. To further investigate viral dissemination and to temporally define cellular targets of CCHFV in vivo, mice were serially euthanized at different stages of disease. Flow cytometry was used to characterize CCHFV-associated alterations in hematopoietic cell populations and to classify infected cells in the blood, lymph node, spleen, and liver. ZsG signal indicated that mononuclear phagocytic cells in the lymphatic tissues were early targets of infection; in late-stage infection, overall, the highest levels of signal were detected in the liver, and ZsG was found in both antigen-presenting and lymphocyte cell populations.
-
Subjects:
-
Source:PLoS Pathog. 15(12)
-
Pubmed ID:31790513
-
Pubmed Central ID:PMC6984736
-
Document Type:
-
Funding:
-
Volume:15
-
Issue:12
-
Collection(s):
-
Main Document Checksum:urn:sha256:ed1bff280352fc47ace5e312c0316b7a6cba70fda7c9ee721a175ce89f1ff2ea
-
Download URL:
-
File Type:
Supporting Files
File Language:
English
ON THIS PAGE
CDC STACKS serves as an archival repository of CDC-published products including
scientific findings,
journal articles, guidelines, recommendations, or other public health information authored or
co-authored by CDC or funded partners.
As a repository, CDC STACKS retains documents in their original published format to ensure public access to scientific information.
As a repository, CDC STACKS retains documents in their original published format to ensure public access to scientific information.
You May Also Like
COLLECTION
CDC Public Access