Novel Clinical and Pathologic Findings in a Heartland Virus-Associated Death
Supporting Files
-
2 15 2017
File Language:
English
Details
-
Alternative Title:Clin Infect Dis
-
Personal Author:
-
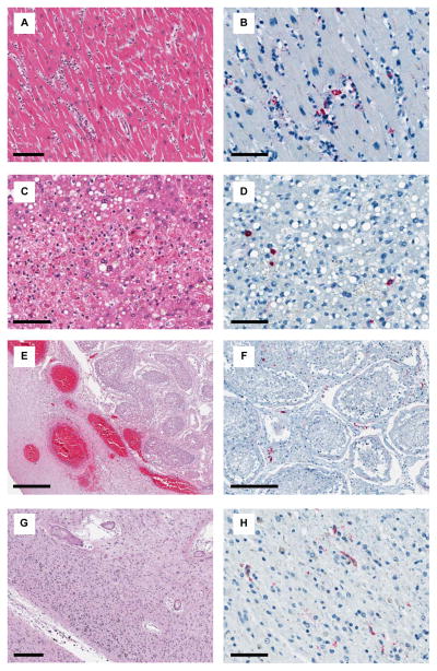
Description:We describe an investigation into a Heartland virus (HRTV)-associated death in Tennessee with novel clinical and pathologic findings. HRTV can cause rapidly fatal, widely disseminated infection with multisystem organ failure in patients without substantial comorbidities. We identified viral antigen in multiple organ tissues where it was not detected previously.
-
Subjects:
-
Source:Clin Infect Dis. 64(4):510-512
-
Pubmed ID:27927857
-
Pubmed Central ID:PMC5393941
-
Document Type:
-
Funding:
-
Volume:64
-
Issue:4
-
Collection(s):
-
Main Document Checksum:urn:sha256:fe146b5b38c23421b9aab2c9716809f597a0451a9255a1bed44ef76faf4dc80f
-
Download URL:
-
File Type:
Supporting Files
File Language:
English
ON THIS PAGE
CDC STACKS serves as an archival repository of CDC-published products including
scientific findings,
journal articles, guidelines, recommendations, or other public health information authored or
co-authored by CDC or funded partners.
As a repository, CDC STACKS retains documents in their original published format to ensure public access to scientific information.
As a repository, CDC STACKS retains documents in their original published format to ensure public access to scientific information.
You May Also Like
COLLECTION
CDC Public Access