U.S. flag An official website of the United States government.
Official websites use .gov

A .gov website belongs to an official government organization in the United States.

Secure .gov websites use HTTPS

A lock ( ) or https:// means you've safely connected to the .gov website. Share sensitive information only on official, secure websites.

i

Sarcomatoid Mesothelioma with Bland Histologic Features: A Potential Pitfall in Diagnosis

Supporting Files
File Language:
English


Select the Download button to view the document
Please click the download button to view the document.

Details

  • Alternative Title:
    AJSP Rev Rep
  • Personal Author:
  • Description:
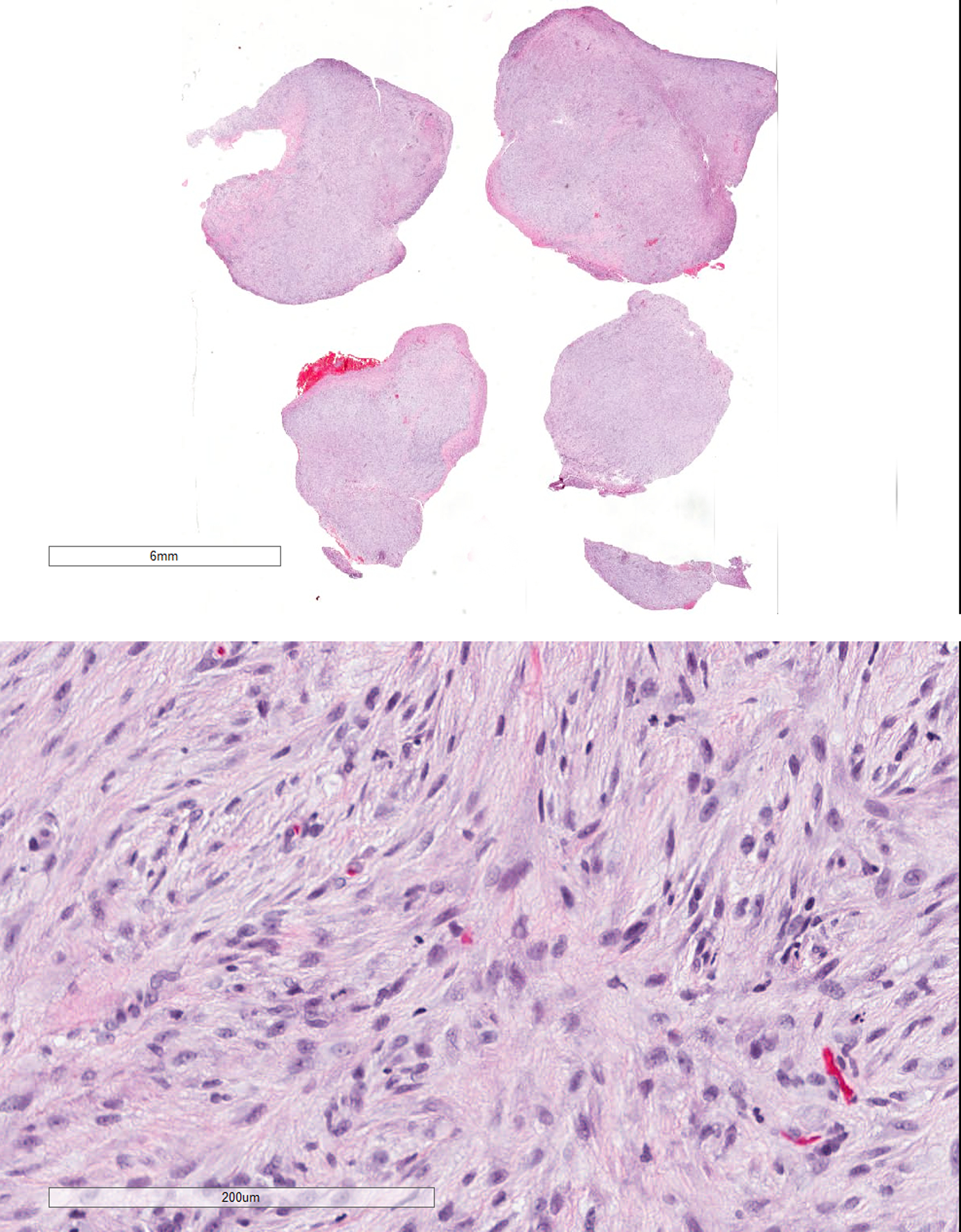
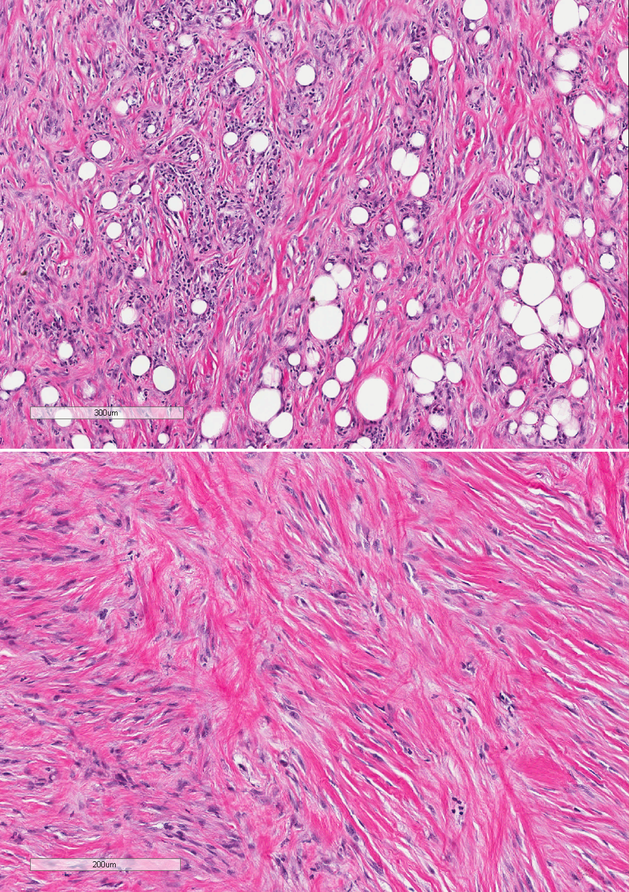
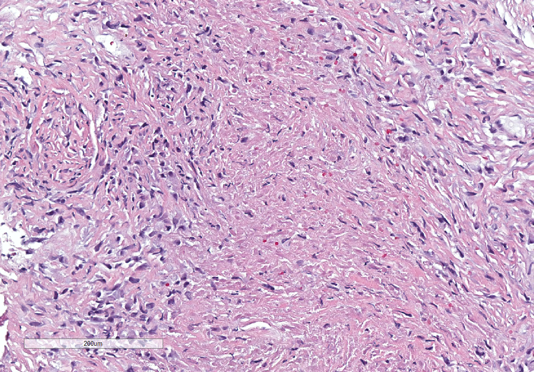
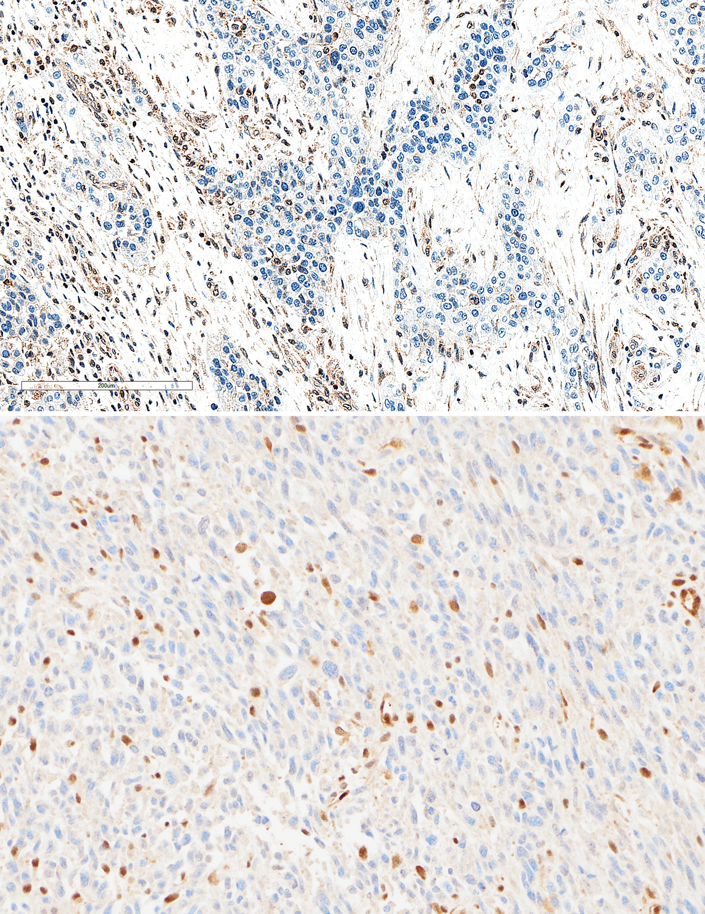
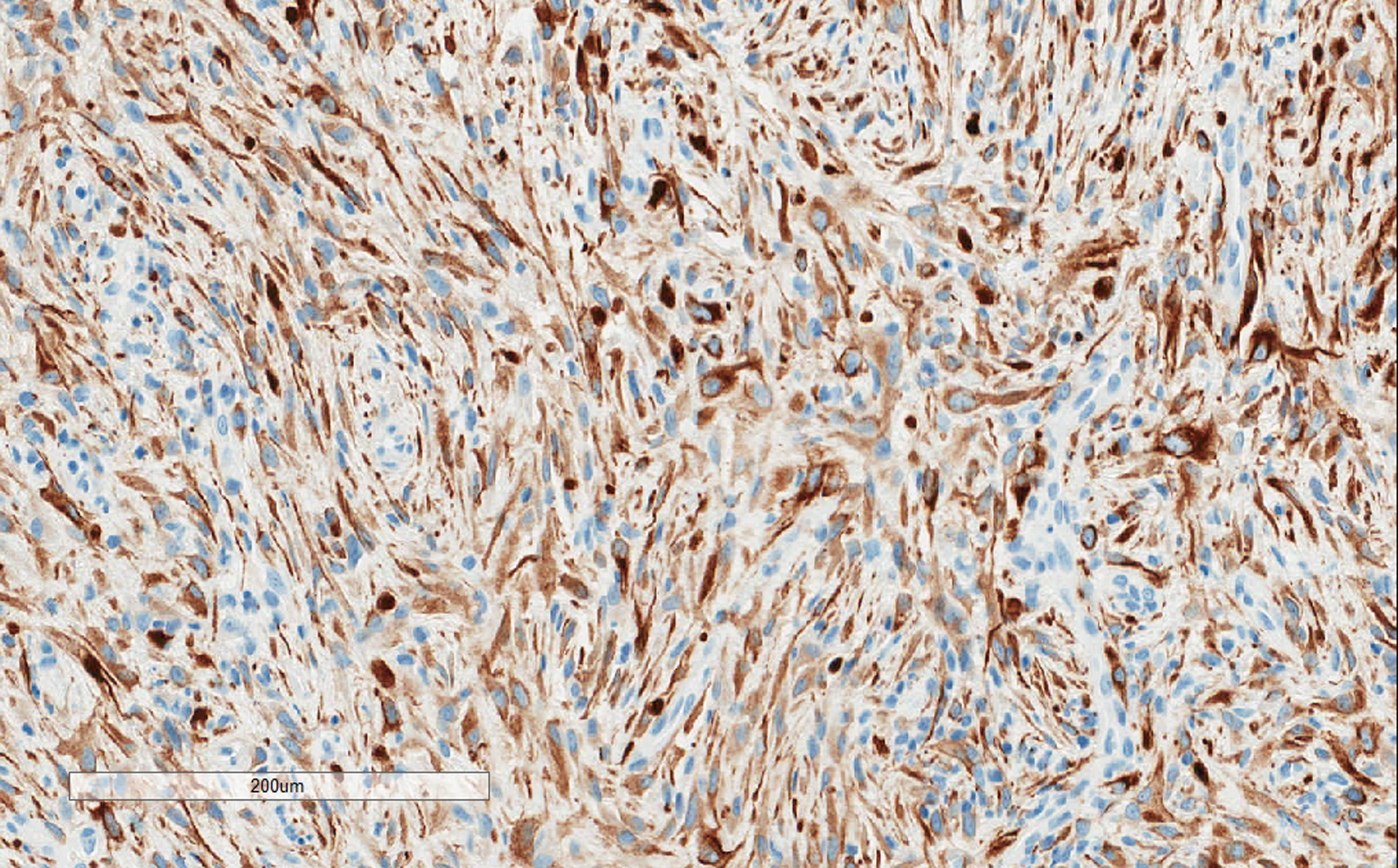
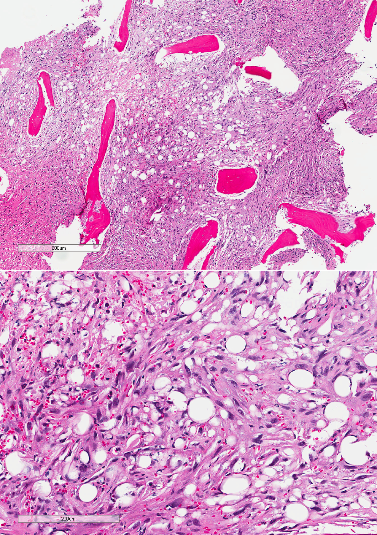
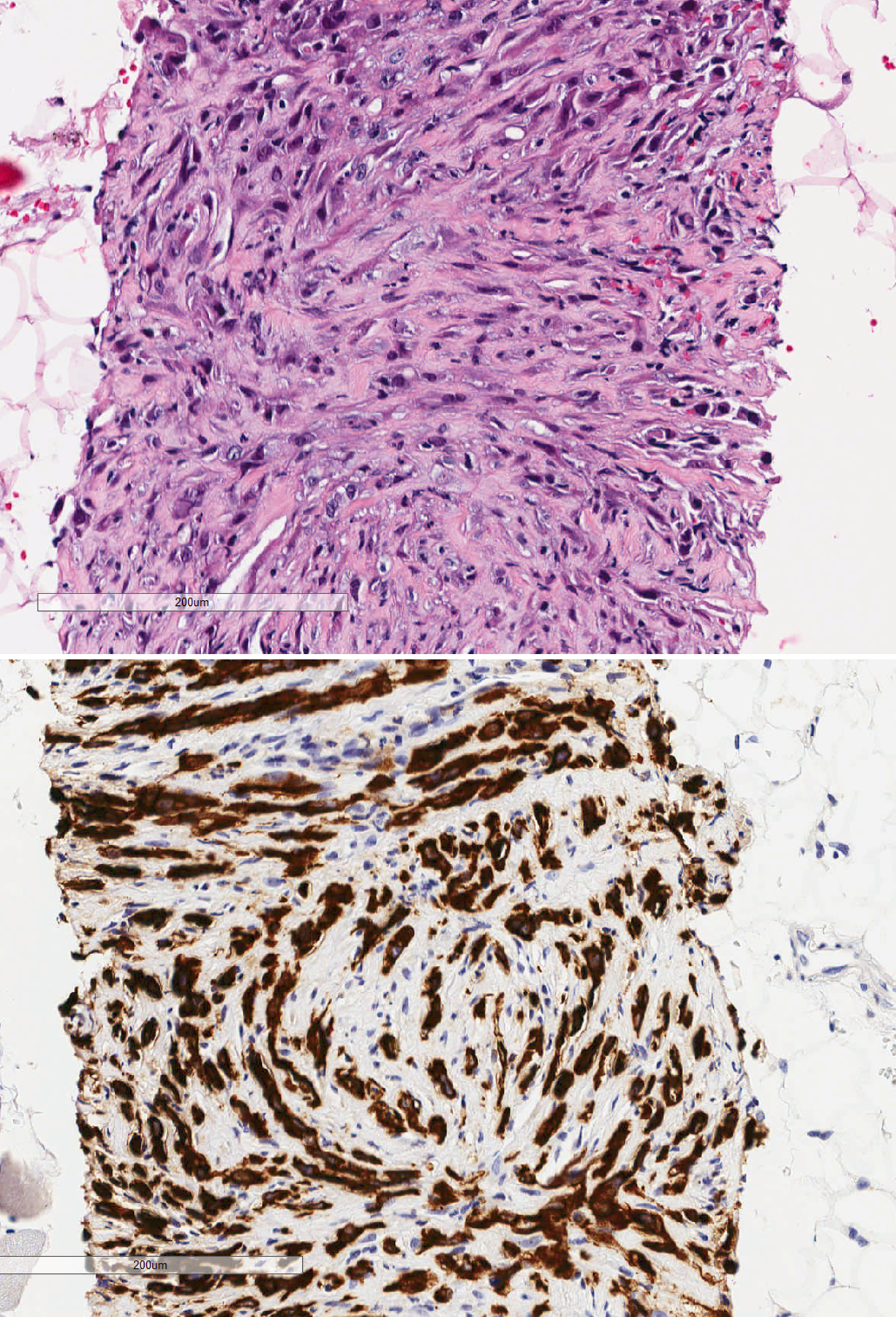
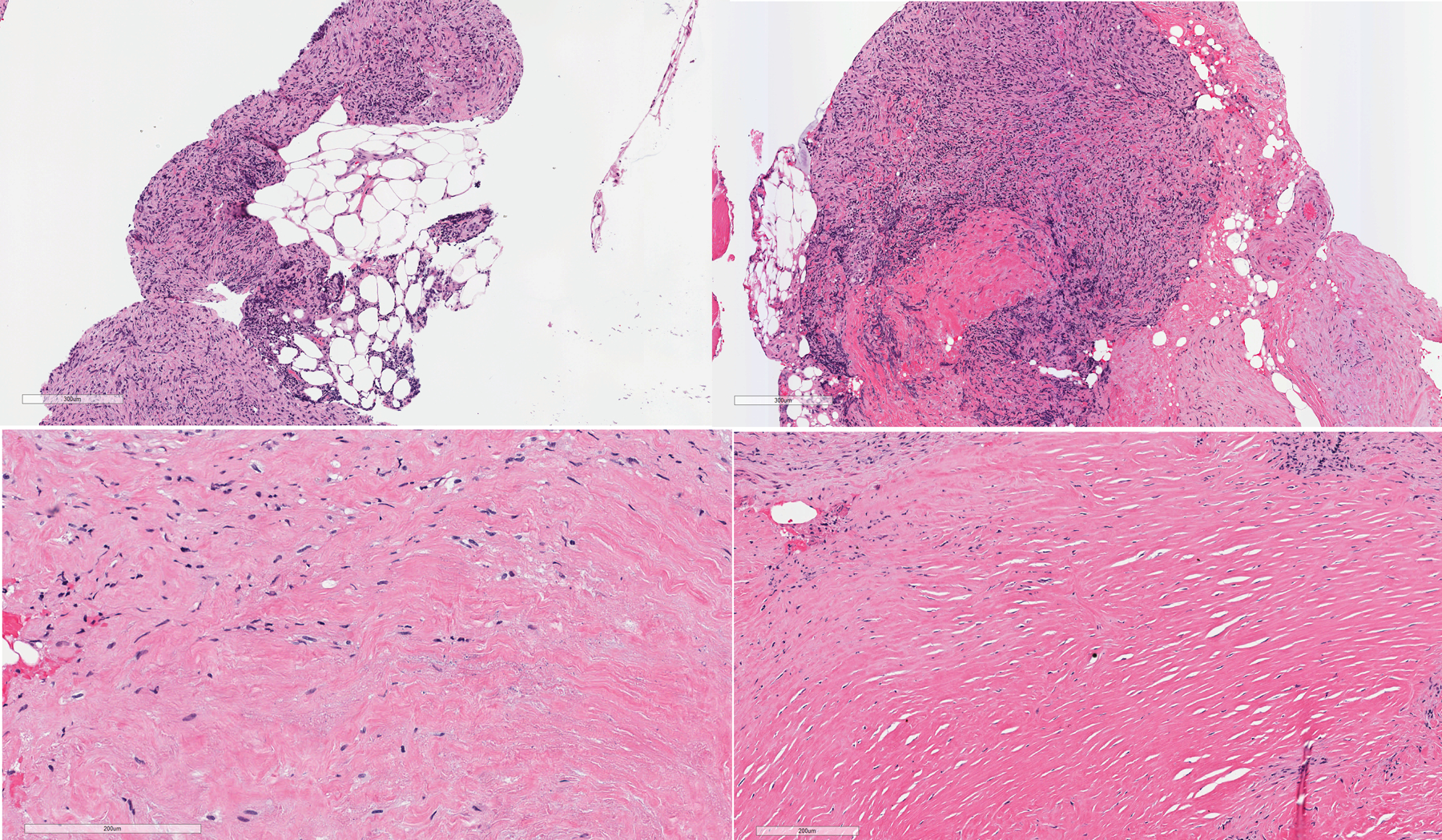
    Sarcomatoid mesotheliomas can be challenging to diagnose on small biopsy specimens, where limited material may preclude definitive assessment of invasion and lesional cells can have relatively bland cytology with no mesothelial marker expression. We report a case of a patient who presented with a pleural effusion and had subsequent pleural biopsy that showed a bland, uniform spindle cell proliferation in a mildly myxoid background. There was little if any collagen; no chest wall, soft tissue, or fat; and mesothelial markers were negative. The cells were positive for pancytokeratin and GATA3 by immunohistochemistry, and in situ hybridization showed a "negative" result for homozygous loss of CDKN2A; however, there was partial (heterozygous) loss of one allele. A diagnosis of atypical spindle cell proliferation was made based on these findings. Several months later, the patient had a repeat pleural biopsy that showed spindled cells with more pleomorphism, areas of invasion into the chest wall, and the same partial loss of CDKN2A, consistent with a sarcomatoid mesothelioma. This case underscores the challenges present on small biopsy specimens, the fact that sarcomatoid mesotheliomas can be relatively bland appearing with focal pleomorphism, and that heterozygous loss of CDKN2A should be considered a positive result indicative of a neoplastic process.
  • Subjects:
  • Source:
    AJSP Rev Rep. 27(3):87-93 ; AJSP Rev Rep. 27(3):87-93
  • Pubmed ID:
    37538296
  • Pubmed Central ID:
    PMC10398945
  • Document Type:
  • Funding:
  • Volume:
    27
  • Issue:
    3
  • Collection(s):
  • Main Document Checksum:
    urn:sha256:eb59846bcf40f572989bfe31f3541468fbd9da0cd46e85d24de5bd42fefb483d
  • Download URL:
  • File Type:
    Filetype[PDF - 8.12 MB ]
File Language:
English
ON THIS PAGE

CDC STACKS serves as an archival repository of CDC-published products including scientific findings, journal articles, guidelines, recommendations, or other public health information authored or co-authored by CDC or funded partners.

As a repository, CDC STACKS retains documents in their original published format to ensure public access to scientific information.